
Daily
debris
< 2025.09.30 >
Autumn
Notes

REC
00:00:00

暮色渐沉,病房里弥漫着消毒水的气息。
73岁的陈奶奶因胆管恶性肿瘤,生命正被一点点吞噬。
更凶险的是,肿瘤已浸润至十二指肠,将食物唯一的通道彻底“封锁”。
严重的胃潴留让她进食后频繁呕吐,营养状况急剧恶化,生命亮起红灯。

以往,面对这样的绝境,主要有两种武器:内镜下放置十二指肠支架,或进行外科胃空肠吻合术。
然而,前者的支架就放置在肿瘤区域,很快会被新的肿瘤生长所堵塞;后者则需要“开膛破肚”,创伤巨大,对于陈奶奶这样身体极度虚弱的晚期患者而言,手术风险很高。
01. )
绝境逢生:
构思一座“体内立交”
难道就没有第三条路了吗?
北京积水潭医院郑州医院(郑州市中心医院)消化内科诊室的灯亮到深夜。
消化内科团队仔细研判影像,一个大胆而精巧的方案被提上日程:实施超声内镜引导下胃空肠吻合术(EUS-GE)。
“简单来说,我们不在‘堵点’硬撑,而是借助超声内镜的‘透视眼’,在胃里选定一个点,精准找到一段没有被肿瘤侵犯的空肠。”徐丽冬医生解释道。
“然后,我们在胃和这段健康的空肠之间,用一枚特殊的双蘑菇头支架,搭建一座绕过肿瘤的‘体内立交桥’。”
02. )
巧夺天工:
“隐形桥梁”的精密搭建
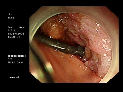
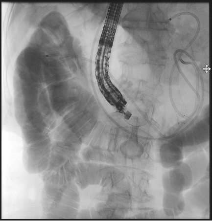
手术室中,一场没有体表切口的“体内造桥工程”悄然开启。
超声内镜探头如同高精度的“GPS导航”,在胃腔内实时扫描,清晰显示出肿瘤的边界、周围血管的搏动,以及最佳“桥墩”定位点。

在超声的实时引导和X光造影的监控下,穿刺、导丝置入、支架释放……
一系列步骤如行云流水。

当那枚双蘑菇头支架在胃与空肠之间成功展开,宛如一朵生命之花在体内绽放,一座避开所有险滩的“人工桥梁”就此贯通。
“桥通了!”手术团队所有人都松了一口气。
03. )
重获新生:
从一口营养液到新希望
术后第三天,陈奶奶小心翼翼地咽下术后第一口营养液。
她下意识地等待着那熟悉的呕吐感,但它竟破天荒地没有来临。
液体顺着那座新搭建的“桥梁”,安静地、顺利地流入了肠道。
女儿的眼泪夺眶而出——这是近一个月来,母亲第一次完整地留住了一餐饭。
这座仅2厘米宽的“桥梁”,不仅是食物的通道,更成为了生命延续的纽带。
相较于传统方案,EUS-GE技术体表无创、恢复快,且因支架放置在远离肿瘤的健康组织上,通畅时间更长,为陈奶奶这样的晚期患者赢得了宝贵的生存时间和有质量的生活。
技术之光
照亮更多患者的未来
此例手术的成功开展,不仅挽救了患者的生命,更标志着我院乃至我省在超声胃镜微创介入治疗领域取得了突破性进展,为无数因肿瘤导致消化道梗阻、无法耐受外科手术的终末期患者,开辟了一条全新的“生命之路”,带来了绝境中的曙光。
精彩推荐
喜欢就奖励一个
和“在看”呗![]()