我和脚踝10年的“爱恨情仇”!到底为啥有人一崴脚就次次崴?
发布时间:2025-03-13     点击数 625 次     
字号:
A
A 标准



脚踝

[又爱又恨]


2025

 ankle  



好几年前,小刘右脚崴了,没咋管,拖拖拖,这个脚是一直不得劲

一个月前不小心又扭了一下,彻底不行了,又肿又痛还走不成路,老婆推着轮椅把他送进医院

I sprained my right ankle.


{!}

 LIVE

{!}



北京积水潭医院郑州医院

[郑州市中心医院]

.


足踝外科/Foot and Ankle Surgery

副主任医师李亚峰经过详细的评估,确定小刘是距骨骨软骨损伤

距骨是足部重要的负重骨,向上和胫骨腓骨相关节,下方和跟骨相关节,前方和舟骨向关节,距骨表面大部分为软骨覆盖

距骨骨软骨损伤是踝关节软骨损伤中的一种常见类型,是踝关节骨折和运动损伤的常见病,主要表现为距骨滑车部分关节软骨剥脱,并影响到深部的软骨下骨


值得注意的是,距骨骨软骨损伤并不等同于骨性关节炎。因为骨性关节炎一般会发生大面积、弥漫、多处的损伤

而距骨骨软骨软骨损伤一般是单一病灶,损伤范围相对比较局限


当距骨骨软骨损伤发生后,患者往往会感到脚踝疼痛、肿胀,尤其是行走疼痛,活动能力大大受限

Pain can also be felt during rest.


随着距骨骨软骨损伤的发展,时间久了软骨下骨中,部分骨质被慢慢吸收,骨组织减少,里面逐渐变成一个空腔,即“囊变”


囊变

Cystic degeneration


北京积水潭医院足踝外科派驻专家李恒,在详细了解小刘的情况以后,决定实施——距骨骨软骨损伤软骨柱移植术

这项技术有很明显的优势


NO.1

保留原有解剖结构,与传统的关节置换术相比,骨软骨柱移植术旨在修复损伤的软骨,而不是替换整个关节


NO.2

减少手术范围,由于只移植受损区域的骨软骨柱,手术范围相对较小,有助于减少手术创伤和术后恢复时间


NO.3


生物力学优势,移植的骨软骨柱可以提供与自然软骨相似的生物力学性能,有助于恢复关节的稳定性和功能


NO.4

减少并发症,由于手术范围较小,手术并发症的风险相对较低。包括感染、出血和神经血管损伤等


{!}

距骨骨软骨损伤

软骨柱移植术

{!}


小刘病损区域太大太深,超过了微骨折修复能力范围,用这个技术也可以更好地满足年轻人对踝关节功能的需求


由于是取自体的软骨,生物相容性好,移植后更容易与周围组织整合,降低排异反应的风险,有利于移植软骨的成活和发挥功能


但对医生的手术技术和医院的设备有很高要求



手术



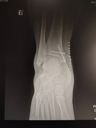
李恒和李亚峰共同上台,先在内踝处做长约4cm的切口,显露内踝骨质,再用3枚2.0mm克氏针先进行截骨平面和固定螺钉位置定位,“C”臂透视,克氏针位置合理


骨刀做内踝“V”形截骨,显露距骨骨软骨损伤部位,环形取骨器取出坏死囊变组织


再于膝关节外侧做长约3cm切口,显露股骨外髁缘

Lateral knee joint


环形取骨器取出等大的骨软骨柱移植到距骨,3枚螺钉固定截骨内踝


手术结束

The surgery is over.


OVER

perfect



作为北京积水潭医院

足踝外科专家

李恒想提醒各位

“习惯性崴脚”的朋友

一定要重视

及时就医

通过影像学检查评估损伤情况

并接受专业的治疗建议


而作为患者

小刘真实的感受到

国家区域医疗中心落地

北京——郑州技术平移

带来实实在在的便利

相信以后会造福更多

中原地区的朋友