
救赎
/

62岁的李叔叔(化名)被双下肢深静脉血栓后综合征困扰8年,左小腿慢性溃疡经久不愈,还伴随肢体憋胀、色素沉着等症状,严重影响生活质量。
慕名来到北京积水潭医院郑州医院,医院副院长、北京积水潭医院血管外科专家田轩教授团队为其制定个性化诊疗方案,成功实施左下肢髂静脉造影+球囊扩张成形术,有效恢复患肢血流,让李叔叔术后即刻感受到肢体轻松,憋胀感明显减轻。
国家区域医疗中心
01
八年顽疾缠身
肢体功能受困

李叔叔的病痛始于多年前的急性下肢深静脉血栓,虽经初步处理,但后续逐渐发展为深静脉血栓后综合征。

8年来,他的双下肢出现明显色素沉着,左小腿更是形成慢性溃疡,也就是俗称的“老烂腿”,溃疡反复发作、难以愈合。
同时,肢体憋胀感日益加重,活动后尤为明显,休息抬高患肢后才稍有缓解,日常行走、站立都受到严重限制,生活质量大打折扣。

为求根治,李叔叔专程前往北京积水潭医院郑州医院,挂了副院长田轩的专家门诊。
门诊完善下肢血管彩色多普勒超声检查显示,其病情较为复杂:
左侧髂静脉、股浅静脉、胫后静脉均为陈旧性完全型血栓,管腔内未见明显血流信号;
右侧股浅静脉中上段为陈旧性完全型血栓,下段及腘静脉为部分型血栓,血流信号充盈缺损;
左侧大隐静脉内径增宽并伴静脉曲张,隐股静脉瓣膜功能不全。
02
专家精准施策
介入手术破局

结合李叔叔的病史、症状及检查结果,田轩团队明确诊断其为“双下肢深静脉血栓后综合征”,且左下肢症状更为严重,存在明确的介入治疗指征。
经过全面评估和术前准备,团队为李叔叔制定了“左下肢髂静脉造影+髂静脉球囊扩张成形术”的个性化手术方案。

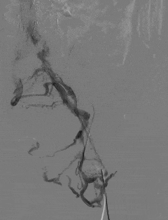
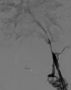
手术过程中,田轩团队凭借精湛的介入技术,经大隐静脉入路穿刺,成功开通闭塞的髂静脉。
术中造影进一步确认,李叔叔左下肢深静脉全程闭塞,血流无法正常回流。

团队随即采用球囊扩张导管逐级对闭塞血管进行精准扩张,逐步恢复血管管腔通畅性。
术后即时评估显示,左下肢髂静脉恢复部分血流,肢体回流障碍得到有效改善。


李叔叔术后即刻反馈,左下肢憋胀感明显减轻,肢体比术前轻松了许多。
田轩叮嘱,李叔叔后续需遵医嘱做好术后护理,1个月后返回医院复查,根据恢复情况进一步实施后续髂静脉球囊扩张成形术,以巩固治疗效果,最大化恢复肢体功能。
03
什么是
深静脉血栓后综合征?


深静脉血栓后综合征是急性下肢深静脉血栓形成后的严重远期并发症,主要因残留血栓阻塞血管、深静脉瓣膜破坏,导致远端静脉回流障碍、静脉高压引发一系列慢性症状,常见表现分为两类:
静脉回流障碍相关症状:单侧肢体肿胀,活动后加重、休息抬高患肢后减轻;浅静脉曲张加重,由静脉高压导致浅静脉代偿性扩张。
皮肤及软组织改变:足靴区(内踝上方)出现褐色或暗褐色色素沉着,因红细胞渗出、含铁血黄素沉积所致;皮肤增厚、质地变硬,可伴瘙痒,形成湿疹或脂性硬皮病;严重时形成经久不愈的慢性溃疡,部分患者还会出现静脉性跛行。

预防该病症的关键在于急性期规范治疗急性下肢深静脉血栓,减少血栓残留及瓣膜损伤:
早期抗凝:确诊后及时使用低分子肝素、华法林等抗凝药物,抑制血栓蔓延、促进血栓溶解;
压力治疗:急性期过后,长期穿戴20-30mmHg的二级压力医用弹力袜,降低静脉压;
生活方式调整:避免久站久坐,休息时抬高患肢,适量进行散步、游泳等运动,控制体重以减少静脉负荷。
END
微信号丨bjjstyyzzyy

点赞
分享
收藏