
今年春节,对 38 岁的河南籍王先生(化名)来说,因一场意外变得格外揪心。
大年三十,他在浙江意外摔伤,被确诊为左侧股骨颈骨折,急需手术治疗,却陷入了 “等不起” 的困境。
就医遇阻:辗转求医的春节困境
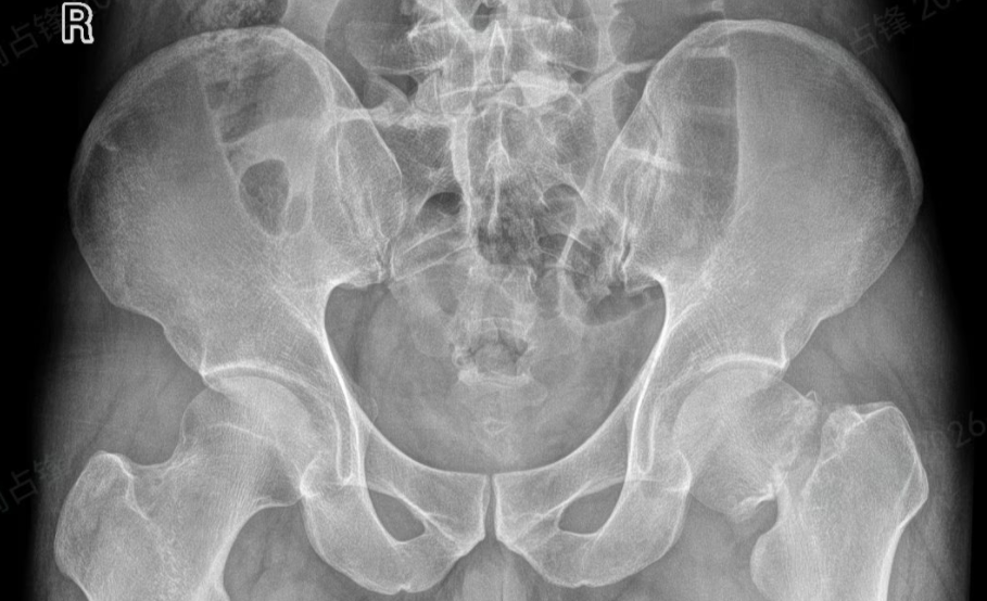
大年三十,王先生在浙江意外摔倒,左侧髋部剧痛难忍,被紧急送往当地医院,确诊为左侧股骨颈骨折。

医生告知,股骨颈骨折属于骨科急症,若不及时手术,不仅会加剧疼痛,还可能导致股骨头缺血性坏死等严重并发症,影响日后行走功能。
然而,当他辗转多家医院寻求手术时,却得到了同样的答复:春节假期期间,手术所需的专用器械无法调配到位,最快要等到正月初八假期结束后才能安排手术。
“初八还有好几天,我这腿实在等不起啊!” 想到骨折的剧痛和可能的后遗症,王先生和家人心急如焚。
作为土生土长的河南人,他抱着最后一丝希望,决定转诊回郑州,寻求家乡医院的帮助。
极速响应:
从入院到手术的生命接力
大年初二中午 12 点,王先生在家人的陪同下,辗转抵达北京积水潭医院郑州医院。

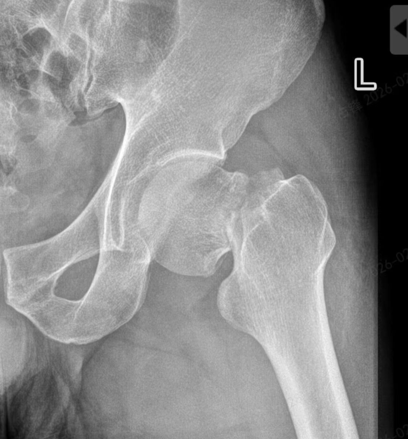
接诊的骨科团队第一时间为他完善了影像学检查,明确了骨折分型和手术指征。

得知患者的紧急情况后,医院立即启动春节应急诊疗预案,开通绿色通道,协调手术器械、麻醉团队和手术室资源。
“股骨颈骨折的黄金手术时间窗很短,我们必须争分夺秒。” 作为主刀医生,高新院区创伤骨科周占锋迅速组织团队进行术前讨论,完善术前检查、协调器械、完成麻醉准备、制定精准的手术方案……
当晚 9 点,手术顺利开始。

在骨科手术导航机器人的辅助下,团队精准复位骨折端,置入内固定装置,手术过程一气呵成,没有出现任何并发症。



当手术顺利完成的消息传来,王先生的家人悬着的心终于落地,紧紧握着医护人员的手连声道谢:“真的太感谢你们了,要是在浙江等到初八,我们真不知道该怎么办。”
服务不降
同质化管理守护节日健康
术后,王先生生命体征平稳,髋部疼痛明显缓解,在医护人员的贴心护理下,正逐步开展术后康复。
春节期间,阖家团圆是所有人的期盼,而守护市民节日期间的健康,是我们每一位医护人员的责任与初心。
他们放弃与家人团聚的机会,24 小时待命,用标准化、同质化的医疗服务,为河南百姓的健康保驾护航,让每一位有就医需求的患者,都能在任何时候都得到及时、规范、贴心的诊疗服务。
那些节日里的值守、高效的救治、贴心的服务与医患间的信任,正是我们为百姓健康筑牢的坚实屏障,也是这个新年最安心的守护。
END
微信号丨bjjstyyzzyy

点赞
分享
收藏